Các Phương Pháp Phục Hình Răng Mất Phổ Biến Hiện Nay

Các Phương Pháp Phục Hình Răng Mất Phổ Biến Hiện Nay (1)

Các Phương Pháp Phục Hình Răng Mất Phổ Biến Hiện Nay 

Tình trạng mất răng không chỉ gây ảnh hưởng đến thẩm mỹ, mà còn gây ra nhiều vấn đề nghiêm trọng như: khó ăn nhai, tiêu xương hàm và xô lệch các răng còn lại. Vì vậy, việc tìm hiểu thông tin về các phương pháp phục hình răng đã mất là điều cần thiết, để giúp bạn có thể lựa chọn giải pháp phù hợp và bảo vệ sức khỏe răng miệng lâu dài.
Tại Nha Khoa Phúc An, cung cấp đa dạng các phương pháp phục hình răng mất hiện đại. Giúp khách hàng nhanh chóng lấy lại nụ cười tự tin và khả năng ăn nhai như răng thật.

1. Cầu răng sứ – Phục hình nhanh, thẩm mỹ cao

Cầu răng sứ là phương pháp phục hình răng mất truyền thống, được nhiều người lựa chọn khi mất một hoặc vài răng liên tiếp. Bác sĩ sẽ thực hiện mài hai răng bên cạnh vị trí răng đã mất để làm trụ, sau đó gắn cầu răng sứ lên trên.Dental Bridge Of 3 Teeth Over Molar And Premolar. Medically Accu

Ưu điểm:

  • Khôi phục răng đã mất nhanh chóng, chỉ từ khoảng 2-3 ngày.
  • Đảm bảo tính thẩm mỹ cao, màu sắc tương tự răng thật.
  • Chi phí thực phiện hợp lý và phải chăng.

Nhược điểm:

  • Phải mài răng thật, có thể gây ảnh hưởng đến răng bê cạnh.
  • Không ngăn chặn được tình trạng tiêu xương hàm về lâu về dài.

Phương pháp này, sẽ phù hợp với những người muốn phục hình nhanh chíng và chưa sẵn sàng đầu tư chi phí cao.

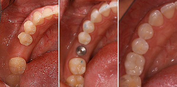
2. Trồng Răng Implant 

Hiện nay, một trong những phương pháp phục hình răng đã mất phổ biến, trồng răng Implant được đánh giá là giải pháp tối ưu nhất. Implant là trụ titanium được cấy trực tiếp vào xương hàm, đóng vai trò như chân răng thật.

Các Phương Pháp Phục Hình Răng Mất Phổ Biến Hiện Nay (2)
Các Phương Pháp Phục Hình Răng Mất Phổ Biến Hiện Nay (2)

Ưu điểm:

  • Phục hình răng chắc chắn, chức năng ăn nhai gần như răng thật.
  • Ngăn chặn tình trạng tiêu xương hàm hiệu quả.
  • Không gây ảnh hưởng đến các răng bên cạnh.
  • Tuổi thọ bền lâu, có thể sử dụng lâu dài nếu được chăm sóc tốt.

Nhược điểm:

  • Chi phí thực hiện sẽ cao hơn so với các phương pháp khác.
  • Thời gian điều trị lâu hơn, tùy vào tình trạng xương của từng người.
Đây sẽ là lựa chọn lý tưởng cho những ai muốn phục hình lâu dài, đảm bảo cả chức năng răng và thẩm mỹ.

3. Hàm giả tháo lắp

Hàm giả tháo lắp là là phương pháp phục hình răng mất truyền thống. Sử dụng khung hàm nhựa hoặc kim loại, gắn răng giả (sứ hoặc nhựa) để thay thế một phần hoặc toàn bộ răng đã mất. Phương pháp đơn giản và tiết kiệm chi phí, phù hợp với người lớn tuổi hoặc mất nhiều răng.

Các Phương Pháp Phục Hình Răng Mất Phổ Biến Hiện Nay
Các Phương Pháp Phục Hình Răng Mất Phổ Biến Hiện Nay

Ưu điểm:

  • Chi phí thấp, dễ tiếp cận với nhiều người.
  • Thời gian thực hiện nhanh chóng.
  • Có thể tháo lắp vệ sinh dễ dàng.

Nhược điểm:

  • Độ ổn định tương thích không cao, dễ lbij ỏng lẻo khi ăn nhai.
  • Có thể gây khó chịu khi sử dụng lâu dài.
  • Không ngăn chặn được tình trạng tiêu xương hàm.
Phương pháp này phù hợp với người cần giải pháp tạm thời, hoặc có ngân sách hạn chế.

Vì sao nên phục hình răng sớm?

Việc trì hoãn phục hình răng mất có thể dẫn đến nhiều hậu quả nghiêm trọng. Khi xử lý đúng thời điểm và sớm, bạn sẽ nhận được những lợi ích rõ rệt:
  • Hoạt động Ăn nhai thoải mái hơn
  • Tăng tính thẩm mỹ và tự tin
  • Ngăn ngừa tình trạng xô lệch răng và tiêu xương hàm
  • Bảo vệ cấu trúc khuôn mặt, tránh lão hóa sớm

Nha Khoa Phúc An – Đồng hành cùng nụ cười của bạn

Hiểu được nỗi lo về chi phí khi điều trị, Nha Khoa Phúc An đang triển khai chương trình hỗ trợ trả góp 0% lãi suất cho dịch vụ Trồng Implant. Đây là cơ hội để mọi khách hàng khi đến Phúc An có thể tiếp cận công nghệ phục hình hiện đại, mà không phải chịu áp lực tài chính.

Các Phương Pháp Phục Hình Răng Mất Phổ Biến Hiện Nay
Các Phương Pháp Phục Hình Răng Mất Phổ Biến Hiện Nay
Với đội ngũ bác sĩ giàu kinh nghiệm và tay nghề, trang thiết bị công nghệ hiện đại và quy trình chuẩn nha khoa. Luôn cam kết mang đến giải pháp phù hợp nhất cho từng khách hàng!