Trồng Răng Implant – Giải Pháp Phục Hình Răng Mất Toàn Diện Tại Nha khoa Phúc An

Trồng Răng Implant – Giải Pháp Phục Hình Răng Mất Toàn Diện Tại Nha Khoa Phúc An (1)

Trồng Răng Implant – Giải Pháp Phục Hình Răng Mất Toàn Diện Tại Nha khoa Phúc An

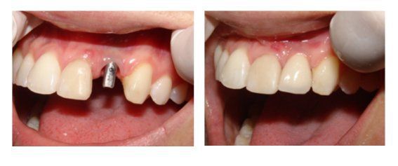
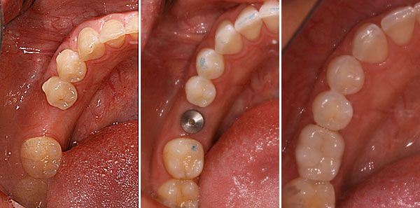
Trong số các phương pháp phục hình răng mất hiện nay, trồng răng implant được đánh giá là giải pháp tối ưu, hiện đại và bền vững nhất. Tại Nha khoa Phúc An, phương pháp này đang được nhiều khách hàng lựa chọn, nhờ khả năng phục hồi gần như hoàn hảo cả về chức năng lẫn thẩm mỹ.

Trồng răng implant là gì?

Trồng răng implant là kỹ thuật đặt một trụ titanium vào xương hàm tại vị trí răng đã bị mất. Trụ này đóng vai trò như chân răng thật, giúp nâng đỡ mão răng sứ phía trên để tạo thành một chiếc răng hoàn chỉnh.

Mất Răng Nguy Hiểm Như Thế Nào
Mất Răng Nguy Hiểm Như Thế Nào
Sau khi trụ implant tích hợp chắc chắn với xương hàm, bác sĩ sẽ tiến hành gắn mão sứ có hình dáng và màu sắc tương tự răng thật. Vì vậy, người dùng có thể ăn nhai thoải mái và sở hữu nụ cười tự nhiên, khó có thể phân biệt với răng thật.

Cấu tạo của một chiếc răng implant

Một chiếc răng implant hoàn chỉnh tại Nha khoa Phúc An bao gồm 3 bộ phận chính:
  • Trụ Implant: Được làm từ titanium tinh khiết, có khả năng tương thích sinh học cao, đóng vai trò thay thế chân răng thật.
  • Khớp nối Abutment: Là cầu nối giữa trụ implant và mão răng sứ, giúp cố định chắc chắn cấu trúc răng.
  • Mão răng sứ: Phần thân răng bên ngoài, được thiết kế riêng theo từng cá nhân khách hàng, đảm bảo thẩm mỹ tự nhiên và hài hòa.

Ưu điểm trồng răng implant

1. Khôi phục khả năng ăn nhai như răng thật

Trụ implant được cấy trực tiếp vào xương hàm, mang lại độ ổn định và tương thích cao. Giúp bạn ăn uống thoải mái, kể cả với thực phẩm cứng hoặc dai.

2. Ngăn ngừa tiêu xương hàm hiệu quả

Không giống các phương pháp truyền thống, Implant giúp kích thích xương hàm phát triển, duy trì cấu trúc khuôn mặt và hạn chế lão hóa sớm.

3. Tính thẩm mỹ cao và tự nhiên

Mão răng sứ được thiết kế cá nhân hóa, đảm bảo màu sắc và hình dáng tương đồng với răng thật, mang lại nụ cười tự tin và thẩm mỹ.

Trồng Răng Implant – Giải Pháp Phục Hình Răng Mất Toàn Diện Tại Nha Khoa Phúc An (2)
Trồng Răng Implant – Giải Pháp Phục Hình Răng Mất Toàn Diện Tại Nha Khoa Phúc An (2)

4. Độ bền lâu dài

Nếu được chăm sóc và vệ sinh tốt thì răng implant có thể sử dụng từ 20 năm hoặc lâu hơn và thậm chí trọn đời.

5. Không gây ảnh hưởng răng bên cạnh

Khác với cầu răng sứ, implant không cần phải mài răng bên cạnh, giúp bảo tồn răng thật tối đa.

Quy trình trồng răng implant tại Nha khoa Phúc An

Quy trình được các Bác sĩ có chuyên môn thực hiện chuẩn y khoa, đảm bảo an toàn:
  • Thăm khám và chụp CT 3D: Bác sĩ đánh giá tình trạng xương hàm và lên kế hoạch điều trị chi tiết.
  • Cấy trụ implant: Tiến hành gây tê và đặt trụ vào vị trí mất răng.
  • Gắn răng tạm: Đảm bảo thẩm mỹ trong thời gian chờ tích hợp xương.
  • Theo dõi và tái khám: Kiểm tra quá trình lành thương định kỳ.
  • Gắn mão răng sứ hoàn thiện: Sau 2 – 6 tháng, răng sứ được lắp cố định và hoàn tất quá trình.
    Trồng Răng Implant – Giải Pháp Phục Hình Răng Mất Toàn Diện Tại Nha Khoa Phúc An (1)
    Trồng Răng Implant – Giải Pháp Phục Hình Răng Mất Toàn Diện Tại Nha Khoa Phúc An (1)

Vì sao nên chọn Nha khoa Phúc An?

  • Đội ngũ bác sĩ có tay nghề chuyên môn cao và giàu kinh nghiệm phương pháp cấy ghép implant
  • Trang thiết bị – công nghệ hiện đại, vô trùng đạt chuẩn
  • Vật liệu chính hãng, có nguồn gốc xuất xứ rõ ràng
  • Chi phí minh bạch, không phát sinh
  • Quy trình bảo đảm an toàn
    Trồng Răng Implant – Giải Pháp Phục Hình Răng Mất Toàn Diện Tại Nha Khoa Phúc An (3)
    Trồng Răng Implant – Giải Pháp Phục Hình Răng Mất Toàn Diện Tại Nha Khoa Phúc An (3)
Trồng răng implant không chỉ là giải pháp phục hồi răng mất, mà còn là cách đầu tư lâu dài cho sức khỏe và chất lượng cuộc sống. Nếu bạn đang gặp tình trạng mất răng, hãy lựa chọn đúng phương pháp và địa chỉ uy tín sẽ giúp bạn lấy lại nụ cười tự tin một cách bền vững!
– Liên hệ ngay Nha khoa Phúc An để được tư vấn miễn phí và kiểm tra tình trạng răng miệng chi tiết!