Dấu Hiệu Viêm Nha Chu Gây Nguy Hiểm Không Thể Bỏ Qua – Cảnh Báo Từ Nha Khoa Phúc An

Dấu Hiệu Viêm Nha Chu Gây Nguy Hiểm (1)

Dấu Hiệu Viêm Nha Chu Gây Nguy Hiểm Không Thể Bỏ Qua – Cảnh Báo Từ Nha Khoa Phúc An

Viêm nha chu là một trong những tình trạng bệnh lý răng miệng phổ biến, nhưng lại rất dễ bị bỏ qua ở giai đoạn đầu. Nhiều người chỉ phát hiện khi tình trạng đã trở nên nghiêm trọng, gây tổn thương nặng đến nướu và xương nâng đỡ răng.
Hãy cùng Nha Khoa Phúc An tìm hiểu về các dấu hiệu viêm nha chu, nguyên nhân và cách phòng ngừa hiệu quả để bảo vệ sức khỏe răng miệng lâu dài.

Viêm Nha Chu Là Gì?

Viêm nha chu là tình trạng nhiễm trùng xảy ra ở các mô xung quanh răng, bao gồm: nướu, dây chằng nha chu, và xương ổ răng. Bệnh thường bắt đầu từ viêm lợi, sau đó tiến triển nặng hơn nếu không được phát hiện và điều trị kịp thời. Lâu ngày, vi khuẩn tích tụ sẽ phá hủy cấu trúc nâng đỡ răng, gây tụt nướu, tiêu xương và cuối cùng có thể dẫn đến mất răng vĩnh viễn.

Dấu Hiệu Viêm Nha Chu Gây Nguy Hiểm
Dấu Hiệu Viêm Nha Chu Gây Nguy Hiểm

Nguyên Nhân Phổ Biến Gây Viêm Nha Chu

  • Chăm sóc – Vệ sinh răng miệng không đúng cách và không kỹ, tạo điều kiện cho mảng bám và cao răng tích tụ
  • Hút thuốc lá, sử dụng rượu bia thường xuyên
  • Thay đổi nội tiết tố như: mang thai, dậy thì,…
  • Bệnh lý toàn thân như: tiểu đường, suy giảm miễn dịch,…
  • Chế độ ăn uống thiếu dinh dưỡng

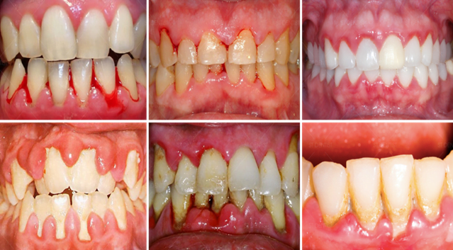
5 Dấu Hiệu Viêm Nha Chu Không Nên Bỏ Qua

Nhận biết sớm các dấu hiệu viêm nha chu chính là chìa khóa giúp bạn điều trị kịp thời và tránh biến chứng nguy hiểm.

Dấu Hiệu Viêm Nha Chu Gây Nguy Hiểm
Dấu Hiệu Viêm Nha Chu Gây Nguy Hiểm

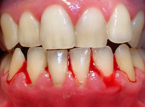
1. Nướu sưng đỏ, dễ bị chảy máu

Nướu khỏe mạnh thường có màu hồng nhạt và săn chắc. Khi bị viêm thì nướu sẽ chuyển sang đỏ sẫm hoặc tím, kèm theo sưng đau. Đặc biệt, nướu dễ bị chảy máu khi đánh răng hoặc dùng chỉ nha khoa. Đây là dấu hiệu sớm nhưng thường bị xem nhẹ.

2. Hơi thở có mùi hôi kéo dài

Vi khuẩn trong túi nha chu sản sinh độc tố gây mùi hôi khó chịu. Dù đã vệ sinh răng miệng kỹ lưỡng nhưng mùi hôi vẫn không biến mất thì đây chính là dấu hiệu cảnh báo rõ ràng của viêm nha chu.

3. Tụt nướu, răng trông dài hơn

Khi nướu bị tụt, phần chân răng bị lộ ra khiến răng có cảm giác dài hơn bình thường. Đồng thời, xuất hiện các khe hở giữa răng là dấu hiệu cho thấy bệnh đã tiến triển.

4. Răng lung lay, đau khi nhai

Ở giai đoạn nặng, mô nâng đỡ răng bị phá hủy khiến răng trở nên lỏng lẻo. Người bệnh có thể cảm thấy đau khi ăn nhai gây ảnh hưởng lớn đến sinh hoạt hàng ngày.

5. Xuất hiện khoảng trống giữa các răng

Các kẽ răng đột nhiên rộng ra, tạo thành kẽ tam giác đen giữa các răng. Thức ăn dễ mắc lại, gây hôi miệng và làm tình trạng viêm trở nên nghiêm trọng hơn.

Các Giai Đoạn Phát Triển Của Viêm Nha Chu

  • Giai đoạn 1 –  Viêm lợi: Nướu đỏ, bị sưng, chảy máu nhẹ. Có thể hồi phục hoàn toàn nếu chăm sóc đúng cách.
  • Giai đoạn 2 – Viêm nha chu nhẹ: Hình thành túi nha chu, vi khuẩn đã bắt đầu tấn công sâu hơn.
  • Giai đoạn 3 – Viêm nha chu trung bình: Xương ổ răng bị tiêu dần, nướu tụt rõ và răng bị lung lay nhẹ.
  • Giai đoạn 4 – Viêm nha chu nặng: Mất xương nghiêm trọng, răng lung lay nhiều và nguy cơ mất răng cao.
    Dấu Hiệu Viêm Nha Chu Gây Nguy Hiểm (2)
    Dấu Hiệu Viêm Nha Chu Gây Nguy Hiểm (2)

Cách Phòng Ngừa Viêm Nha Chu Hiệu Quả

  • Đánh răng ít nhất 2 lần 1 ngày, với bàn chải lông mềm
  • Sử dụng chỉ nha khoa, tăm nước và nước xúc miệng, để làm sạch kẽ răng
  • Hạn chế đồ ăn uống ngọt, nhiều tinh bột và thực phẩm quá cứng
  • Đến Nha Khoa thăm Khám răng định kỳ từ 3 – 6 tháng 1 lần, để lấy cao răng
  • Hạn chế hút thuốc lá và các thói quen gây hại
Dấu Hiệu Viêm Nha Chu Gây Nguy Hiểm
Dấu Hiệu Viêm Nha Chu Gây Nguy Hiểm
Viêm nha chu không chỉ ảnh hưởng đến thẩm mỹ, mà còn gây hậu quả nghiêm trọng cho sức khỏe răng miệng nếu không được phát hiện và điều trị kịp thời. Việc nhận biết sớm các dấu hiệu viêm nha chu, sẽ giúp bạn chủ động hơn trong việc bảo vệ nụ cười của mình.
Nếu bạn đang gặp bất kỳ triệu chứng nào, hãy đến ngay Nha Khoa Phúc An để được thăm khám và tư vấn giải pháp điều trị phù hợp!