Cảnh Báo Dấu Hiệu Sâu Răng Ở Trẻ – Ba Mẹ Cần Biết

Cảnh Báo Dấu Hiệu Sâu Răng Ở Trẻ – Ba Mẹ Cần Biết

Cảnh Báo Dấu Hiệu Sâu Răng Ở Trẻ – Ba Mẹ Cần Biết

Sâu răng ở trẻ không chỉ gây đau nhức, mà còn ảnh hưởng trực tiếp đến sự phát triển răng vĩnh viễn, khả năng ăn nhai và thậm chí là phát âm sau này. Tại Nha khoa Phúc An, đã tiếp nhận rất nhiều trường hợp trẻ nhỏ gặp biến chứng nghiêm trọng, chỉ vì phát hiện sâu răng quá muộn. Vì vậy, việc nhận biết sớm dấu hiệu và xử lý kịp thời là điều vô cùng quan trọng.

Sâu răng ở trẻ nguy hiểm như thế nào?

Răng sữa đóng vai trò quna trọng giữ chỗ cho răng vĩnh viễn mọc đúng vị trí. Khi răng sữa bị sâu và mất sớm, các răng bên cạnh có thể xô lệch, khiến răng vĩnh viễn mọc sai vị trí, gây ra tình trạng răng mọc chen chúc hoặc lệch khớp cắn.

Cảnh Báo Dấu Hiệu Sâu Răng Ở Trẻ – Ba Mẹ Cần Biết
Cảnh Báo Dấu Hiệu Sâu Răng Ở Trẻ – Ba Mẹ Cần Biết
Ngoài ra, vi khuẩn từ răng sâu còn có thể lan rộng xuống tủy, gây viêm nhiễm nặng gây ảnh hưởng đến mầm răng vĩnh viễn bên dưới. Trẻ cũng sẽ gặp khó khăn khi ăn uống, dẫn đến biếng ăn, suy dinh dưỡng và chậm phát triển.

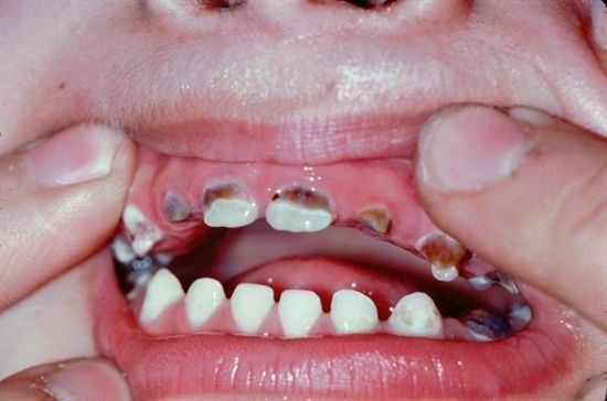
Dấu hiệu sâu răng ở trẻ ba mẹ cần chú ý

Để bảo vệ nụ cười và sức khỏe của bé, ba mẹ hãy kiểm tra răng miệng cho bé thường xuyên và lưu ý các dấu hiệu sau:

1. Xuất hiện đốm đen, hoặc nâu trên răng

Đây là dấu hiệu sớm nhất của sâu răng. Những vệt màu bất thường trên bề mặt răng, cho thấy vi khuẩn đang bắt đầu phá hủy men răng. Nếu không xử lý kịp thời, tình trạng sẽ tiến triển nhanh chóng.

2. Hình thành lỗ hổng trên răng

Khi sâu răng phát triển nặng hơn, răng sẽ bị ăn mòn và xuất hiện các lỗ nhỏ. Những lỗ này dễ làm cho thức ăn mắc lại, tạo môi trường lý tưởng cho vi khuẩn phát triển.

3. Sưng nướu, có mủ

Đây là dấu hiệu cảnh báo tình trạng viêm nhiễm đã lan rộng. Trẻ có thể bị đau nhức dữ dội, thậm chí sốt và ảnh hưởng đến sinh hoạt hàng ngày.

4. Biếng ăn, quấy khóc và sụt cân

Khi răng đau, bé sẽ ngại nhai và sợ ăn. Điều này lâu dài có thể dẫn đến tình trạng như:  thiếu chất, suy dinh dưỡng và ảnh hưởng đến sự phát triển toàn diện.

Cảnh Báo Dấu Hiệu Sâu Răng Ở Trẻ – Ba Mẹ Cần Biết
Cảnh Báo Dấu Hiệu Sâu Răng Ở Trẻ – Ba Mẹ Cần Biết

Nguyên nhân gây sâu răng ở trẻ

Một số nguyên nhân phổ biến dẫn đến sâu răng ở trẻ bao gồm:
  • Vệ sinh răng miệng chưa đúng cách, hoặc không thường xuyên
  • Thói quen ăn nhiều thực phẩm như: ngọt, bánh kẹo, nước có ga,…
  • Uống sữa đêm, nhưng không làm sạch răng sau đó
  • Không được kiểm tra răng định kỳ tại nha khoa
    Cảnh Báo Dấu Hiệu Sâu Răng Ở Trẻ – Ba Mẹ Cần Biết
    Cảnh Báo Dấu Hiệu Sâu Răng Ở Trẻ – Ba Mẹ Cần Biết
Vi khuẩn trong khoang miệng sẽ chuyển hóa đường thành axit, làm mòn men răng và gây sâu răng theo thời gian.

Cách phòng ngừa sâu răng hiệu quả cho trẻ

Để hạn chế tối đa nguy cơ sâu răng cho trẻ, ba mẹ nên:
  • Tập cho bé đánh răng ít nhất 2 lần/ 1 ngày, bằng kem đánh răng phù hợp
  • Hạn chế thực phẩm ngọt, đặc biệt trước khi ngủ
  • Cho bé súc miệng sau khi ăn
  • Đưa bé đến Nha khoa uy tín kiểm tra răng định kỳ mỗi từ 3 – 6 tháng/ 1 lần
    Cảnh Báo Dấu Hiệu Sâu Răng Ở Trẻ – Ba Mẹ Cần Biết
    Cảnh Báo Dấu Hiệu Sâu Răng Ở Trẻ – Ba Mẹ Cần Biết
Việc xây dựng thói quen chăm sóc răng miệng từ sớm sẽ giúp bé có hàm răng khỏe mạnh lâu dài.

Nha khoa Phúc An – Địa chỉ đồng hành cùng nụ cười trẻ thơ

Hiểu được tâm lý sợ hãi khi đi nha sĩ của trẻ nhỏ, Nha khoa Phúc An luôn tạo ra môi trường thân thiện, nhẹ nhàng và an toàn cho trẻ. Đội ngũ bác sĩ giàu kinh nghiệm sẽ giúp bé thăm khám một cách thoải mái và hạn chế tối đa cảm giác đau hay lo lắng.
Các Bác sĩ tai Nha Khoa hướng dẫn ba mẹ cách chăm sóc răng miệng đúng cách cho bé ngay tại nhà.
Sâu răng ở trẻ là vấn đề không thể xem nhẹ, dù chỉ là răng sữa. Phát hiện sớm, điều trị kịp thời chính là chìa khóa giúp bảo vệ nụ cười và sức khỏe lâu dài cho con!