Bọc Răng Sứ Thẩm Mỹ – Giải Pháp Phục Hình Nụ Cười 

Bọc Răng Sứ Thẩm Mỹ – Giải Pháp Phục Hình Nụ Cười  (1)

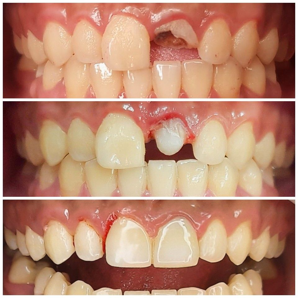
Bọc Răng Sứ Thẩm Mỹ – Giải Pháp Phục Hình Nụ Cười 

Hiện nay, trong các phương pháp thẩm mỹ nha khoa hiện đại, bọc răng sứ thẩm mỹ đang được nhiều khách hàng tin tưởng và lựa chọn, nhờ khả năng cải thiện nhanh chóng cả về hình dáng lẫn chức năng răng.
Vậy phương pháp này là gì? Có thật sự hiệu quả như lời đồn? Hãy cùng Nha Khoa Phúc An tìm hiểu chi tiết trong bài viết dưới đây!

Bọc Răng Sứ Thẩm Mỹ là gì?

Bọc răng sứ thẩm mỹ hay còn gọi là chụp mão sứ là kỹ thuật phục hình răng, bằng cách sử dụng một lớp mão sứ được thiết kế riêng, chụp lên phần răng thật đã được mài chỉnh trước đó. Mão sứ có màu sắc và hình dáng tương tự như răng thật, giúp cải thiện đáng kể thẩm mỹ và khôi phục chức năng ăn nhai.

Bọc Răng Sứ Thẩm Mỹ – Giải Pháp Phục Hình Nụ Cười  (1)
Bọc Răng Sứ Thẩm Mỹ – Giải Pháp Phục Hình Nụ Cười  (1)
Phương pháp này không chỉ giúp phục hình răng, mà còn giúp bảo vệ răng thật bên trong khỏi các tác động từ môi trường bên ngoài như: vi khuẩn, nhiệt độ và lực nhai.

Những Tình Trạng Răng Nên Bọc Răng Sứ

Không phải tình trạng hay trường hợp nào cũng có thể bọc răng sứ, tuy nhiên phương pháp này đặc biệt phù hợp với những trường hợp sau:
  • Răng bị sứt mẻ – nứt vỡ nhẹ
  • Răng thưa, không đều, hoặc hình dáng kém thẩm mỹ
  • Răng bị ố vàng, xỉn màu nặng không thể tẩy trắng
  • Răng nhiễm màu do kháng sinh
  • Răng đã điều trị tủy, răng sâu lớn cần phục hồi
  • Sai lệch khớp cắn nhẹ, không phải do cấu trúc xương hàm
    Bọc Răng Sứ Thẩm Mỹ – Giải Pháp Phục Hình Nụ Cười  (2)
    Bọc Răng Sứ Thẩm Mỹ – Giải Pháp Phục Hình Nụ Cười  (2)
Tuy nhiên, với các trường hợp như: hô, móm nặng do xương hàm, hoặc sai khớp cắn nghiêm trọng. Bác sĩ thường khuyến nghị niềng răng, hoặc can thiệp chỉnh hình chuyên sâu thay vì bọc sứ.

Ưu Và Nhược Điểm Của Bọc Răng Sứ Thẩm Mỹ

Ưu điểm:

  • Cải thiện thẩm mỹ tuyệt đối: Khắc phục hoàn toàn tình trạng răng xỉn màu, răng thưa, mẻ.
  • Độ bền cao, ăn nhai chắc chắn: Sử dụng chất liệu sứ cao cấp, chính hãng, ôm khít cùi răng, chịu lực tốt.
  • Phục hồi chức năng ăn nhai: Không chỉ đẹp, răng sứ còn giúp tái tạo lại khớp cắn chuẩn, giúp bạn ăn nhai ngon miệng và thoải mái tận hưởng cuộc sống.

Nhược điểm:

  • Mài răng thật: tác động này không thể phục hồi lại răng như ban đầu
  • Nguy cơ ê buốt nếu làm sai kỹ thuật
  • Đen viền nướu: Có thể xảy ra với răng sứ kim loại sau thời gian dài sử dụng
  • Phụ thuộc tay nghề bác sĩ: Nếu thực hiện bởi tay nghề kém chuyên môn, không chuẩn, dễ gây cộm, viêm nướu và hở cổ răng.
Vì vậy, việc lựa chọn địa chỉ nha khoa uy tín đóng vai trò cực kỳ quan trọng để đảm bảo kết quả lâu dài.

Quy trình bọc răng sứ tại Nha Khoa Phúc An

Tại Nha Khoa Phúc An, quy trình bọc răng sứ thẩm mỹ được thực hiện bài bản, chuẩn y khoa:

1. Thăm khám & tư vấn:

Bác sĩ sẽ kiểm tra, thăm khám tình trạng răng miệng ban đầu và chụp X-quang (nếu cần)

2. Mài răng & lấy dấu:

Thực hiện nhẹ nhàng, chính xác

3. Thiết kế mão sứ:

Thiết kế theo cá nhân hóa theo từng khách hàng

4. Gắn răng tạm:

Đảm bảo thẩm mỹ trong thời gian chờ

5. Lắp mão sứ chính thức:

Kiểm tra độ khít, màu sắc và khớp cắn

Toàn bộ quy trình được thực hiện bởi đội ngũ bác sĩ giàu kinh nghiệm, đảm bảo an toàn và tính thẩm mỹ cao nhất.

Bọc Răng Sứ Có Bền Không? Cách Chăm Sóc

Răng sứ có thể duy trì độ bền và tuổi thọ lâu dài, nếu được chăm sóc và vệ sinh đúng cách:
  • Đánh răng ít nhất 2 lần/ 1 ngày
  • Sử dụng chỉ nha khoa, tăm nước và nước súc miệng
  • Hạn chế thức ăn quá cứng hoặc quá dai
  • Đến Nha Khoa khám răng định kỳ tầm 6 tháng/ 1 lần
Bọc Răng Sứ Thẩm Mỹ – Giải Pháp Phục Hình Nụ Cười  (3)
Bọc Răng Sứ Thẩm Mỹ – Giải Pháp Phục Hình Nụ Cười  (3)
Bọc răng sứ thẩm mỹ là giải pháp tối ưu, giúp bạn nhanh chóng sở hữu nụ cười đẹp tự nhiên và tự tin. Tuy nhiên, để đạt hiệu quả cao và an toàn, bạn cần lựa chọn đúng địa chỉ nha khoa uy tín.
Tại Nha Khoa Phúc An, luôn cam kết mang đến giải pháp bọc răng sứ chuẩn y khoa, thẩm mỹ cao và phù hợp với từng khách hàng. Hãy liên hệ ngay hotline để được tư vấn chi tiết!